ΕΝΟΤΗΤΕΣ
Τι είναι τα περιπροθετικά κατάγματα;
Τα περιπροθετικά κατάγματα, είναι κατάγματα που συμβαίνουν γύρω από ένα εμφύτευμα αρθροπλαστικής. Ειδικότερα το κάταγμα βρίσκεται σε γειτνίαση με το εμφύτευμα (κοντά ή λίγο μακριά του), ή ακόμη και ανάμεσα σε δύο εμφυτεύματα. Δηλαδή ύπαρξη ενός κατάγματος στο μηριαίο οστούν όταν πιο πάνω υπάρχει μία αρθροπλαστική ισχίου, και πιο κάτω στο ίδιο οστούν μία αρθροπλαστική γόνατος .
- Η ταξινόμηση των περιπροθετικών καταγμάτων ανάλογα με την περιοχή και τη θέση του κατάγματος σε σχέση με το εμφύτευμα της αρθροπλαστικής.
- Περιπροθετικό κάταγμα. Κάταγμα του οστού σε γειτνίαση με ορθοπεδικό εμφύτευμα. Διακρίνεται το κάταγμα κάτωθεν του εμφυτεύματος.
- Περιπροθετικό κάταγμα ανάμεσα σε δύο εμφυτεύματα με αστοχία της πλάκας οστεοσύνθεσης.
Αποτελούν μία ειδική νοσολογική οντότητα που δυστυχώς αυξάνει πολύ στις μέρες μας. Οι λόγοι είναι πολλοί και θα τους αναφέρουμε παρακάτω. Το σίγουρο είναι ότι για την αντιμετώπιση των καταγμάτων αυτών, απαιτείται ειδική εκπαίδευση, πολυετής εξειδίκευση σε ειδικό κέντρο του εξωτερικού και μεγάλη εμπειρία.
Στο κέντρο μας αντιμετωπίζουμε από το 2006, τα πλέον σύνθετα των καταγμάτων αυτών με πολύ μεγάλη επιτυχία όπως μπορείτε να τα δείτε στη συνέχεια της ιστοσελίδας μας και ακόμη να έρθετε σε επαφή με τους χειρουργημένους αυτούς ασθενείς, να μοιραστείτε την εμπειρία τους.
Γιατί αυξάνουν στις μέρες μας;
- Σημαντική αιτία για τα περιπροθετικά κατάγματα είναι η αυξημένη δραστηριότητα των ηλικιωμένων ατόμων, πολλά από τα οποία έχουν εμφυτεύματα αρθροπλαστικής.
- Απόσταση μεταξύ εμφυτευμάτων μικρότερη των 12 εκατοστών αποτελεί προδιαθεσικό παράγοντα για περιπροθετικό κάταγμα.
- Μία κακή χειρουργική τεχνική ευθύνεται τις περισσότερες φορές για περιπροθετικά κατάγματα.
- Με το φαινόμενο της γήρανσης του πληθυσμού, έχουμε πολλά άτομα με χρονολογική ηλικία πάνω των 85 ετών, τα οποία ασχολούνται με ελαφρά sports, όπως κολύμβηση, πεζοπορία, συμμετοχή σε χορευτικούς συλλόγους. Για τον ίδιο λόγο έχουμε ασθενείς με αυξημένο βαθμό οστεοπόρωσης και επίσης με αυξανόμενο ποσοστό αρθροπλαστικών
- Δυστυχώς πολλοί συνάδελφοί αντιμετωπίζουν ένα άτομο 70-80 ετών ως υπέργηρο και όταν εμφυτεύουν μία αρθροπλαστική, πολλές φορές την τοποθετούν με πρόχειρο τρόπο κάνοντας μια «βιαστική» και κατώτερης ποιότητας επέμβαση, υπό την πρόφαση ότι δεν θα «αντέξει» ο ασθενής μία βαριά επέμβαση. Με τον τρόπο αυτό η διάρκεια ζωής των συγκεκριμένων εμφυτευμάτων δεν ξεπερνά κάποια λίγα χρόνια και προδιαθέτει σε οστεοπορωτικό κάταγμα. Όμως οφείλει ένας έμπειρος χειρουργός, με την μεγάλη πρόοδο της αναισθησιολογίας να ολοκληρώσει μια πλήρη και επαρκή χειρουργική επέμβαση σε πολύ λίγο χρόνο. Αν πιστεύει ότι δεν έχει τα μέσα ή την εμπειρία, είναι πιο ο σωστό να διακομίσει τον ασθενή σε άλλο κέντρο όπου μπορεί να πραγματοποιηθεί η επέμβαση με ασφάλεια!!
- Ειδικά στον ελλαδικό χώρο, υπάρχει ακόμα η νοοτροπία όπου ο θεράπων ιατρός που εμφύτευσε μία αρθροπλαστική, δεν παραδέχεται ότι μπορεί να έχει αρχίσει να χαλαρώνει ή και να φθείρεται. Συνεπώς λέει στον ασθενή : «ακόμα κρατάει, μην πας να κάνεις επανεγχείρηση, αφού δε σε πονάει άφησέ την». Ή ακόμα χειρότερα πολλοί ασθενείς επειδή δεν πονούν δεν κάνουν τον τακτικό έλεγχο στον ιατρό τους για να ελέγξει το εμφύτευμα τους. Συνακολούθως δημιουργείται εκτεταμένη οστική απορρόφηση και τεράστιες κοιλότητες και προδιαθέτουν σε οστεοπορωτικό περιπροθετικό κάταγμα.
- Τεχνικά (ιατρικά) λάθη. Δυστυχώς είναι ένα μεγάλο πρόβλημα που σχετίζεται φυσικά με την εμπειρία του χειρουργού, ο τρόπος εμφύτευσης μίας πρόθεσης ή ο λανθασμένος τρόπος της οστεοσύνθεσης, τελικά προδιαθέτει σε δημιουργία περιοχών με αυξημένες συγκεντρώσεις φορτίων (sress risers) που με τη σειρά τους προδιαθέτουν σε περιπροθετικό κάταγμα.
Οι πιο συχνές περιοχές που βλέπουμε τα περιπροθετικά κατάγματα βρίσκονται στο ισχίο και στο γόνατο, αλλά τώρα τελευταία βρίσκουμε και αρκετά στην περιοχή της κοτύλης που ίσως έχουν και την πιο δύσκολη αντιμετώπιση, διότι διαχωρίζεται η πύελος (η λεκάνη) σε δύο ή και περισσότερα τμήματα.
Πως αντιμετωπίζονται σε γενικές γραμμές;
H αντιμετώπισή τους εξαρτάται από την ποιότητα και ποσότητα του οστού την ανατομική περιοχή, από την σταθερότητα ή την χαλάρωση του εμφυτεύματος, από το σημείο που βρίσκεται το εμφύτευμα αλλά και η γραμμή του κατάγματος στο οστούν και από υποκειμενικά στοιχεία της κατάστασης της υγείας και των απαιτήσεων του κάθε ασθενούς. Ειδικότερα:
- Σε απλά αποσπαστικά κατάγματα μπορεί να γίνει καθήλωση μόνο με σύρματα
- Σε σοβαρά περιπροθετικά κατάγματα, στο επίπεδο αλλά και λίγο πιο μακριά από το άκρο του εμφυτεύματος της αρθροπλαστικής, γίνεται τοποθέτηση ειδικής πλάκας τιτανίου με κοχλίες +/- σύρματα.
- Εμφύτευμά που ανευρίσκεται χαλαρό, αφαιρείται, αντικαθίσταται από νέο εμφύτευμα και γίνεται φυσικά και η οστεοσύνθεση.
- Όταν το κάταγμα είναι πολύ περιφερικό, στην άκρη δηλαδή του οστού και η ποιότητα του οστού δεν είναι καλή (έχουμε βαριά οστεοπόρωση) τότε μπορεί να αφαιρεθεί το περιφερικό τμήμα του οστού πέρα από την καταγματική γραμμή μαζί με την αρθρική επιφάνεια και να αντικατασταθεί από ευμεγέθη πρόθεση η οποία θα επιτρέψει την άμεση κινητοποίηση του ασθενούς.
- Σε περίπτωση τοπικής οστικής απώλειας, μπορεί να τοποθετηθεί ειδικό μόσχευμα (π.χ φλοιώδες οστούν), ώστε να ενισχύσει την οστεοσύνθεση ή να τοποθετηθεί επιπλέον πλάκα ώστε να εξαφανίσει τις συγκεντρώσεις φορτίων (stress risers)
- Ο χειρουργός απαιτείται να έχει εμπειρία με τα καινούργια εμφυτεύματα για περιπροθετικά κατάγματα, δηλαδή πλάκες με πολυαξονικούς κοχλίες, ειδικές νέες πλάκες τιτανίου με ασφαλιζόμενους κοχλίες, διότι η κλασική οστεοσύνθεση δεν βοηθά, γρήγορα χαλαρώνει και αποτυγχάνει.
Όπως τονίσαμε πολλές φορές η θεραπεία ενός σύνθετου περιπροθετικού κατάγματος εξατομικεύεται και εξαρτάται κάθε φορά από τις τοπικές συνθήκες της περιοχής του κατάγματος και του εμφυτεύματος, όσο και από τις γενικές συνθήκες της υγείας του ασθενούς, το κίνητρο του για γρήγορη επανένταξη στην εργασία και στις ασχολίες του, την βιολογική του ηλικία.
- Τα αποστπαστικά κατάγματα (από έλξη) στο κεντρικό μηριαίο , σταθεροποιούνται με ειδική πλάκα και σύρματα
- Σε περιπροθετικά κατάγματα που είναι πολύ περιφερικά (στην άκρη του μηριαίου οστού) και έχουμε υπερήλικα ασθενή χαμηλών δραστηριοτήτων ,μπορούμε να αντικαταστήσουμε ολόκληρο το περιφερικό μηριαίο οστούν με ειδικό εμφύτευμα
- O χειρουργός πρέπει να είναι απολύτως εξοικειωμένος με τα καινούργια εμφυτεύματα τις ειδικές πλάκες με τους πολυαξονικούς κοχλίες ( ειδικές βίδες
- Σε σοβαρά περιπροθετικά κατάγματα όπου υπάρχει εκσεσημασμένη απώλεια οστού και αστοχία των προηγούμενων υλικών οστεοσύνθεσης, μπορεί να αντικατασταθεί το μεγαλύτερο μέρος του μηριαίου οστού με ειδική μεγαπρόθεση που θα επιτρέψει άμεση κινητοποίηση στον ασθενή.
- Σε σοβαρά περιπροθετικά κατάγματα όπου υπάρχει εκσεσημασμένη απώλεια οστού και αστοχία των προηγούμενων υλικών οστεοσύνθεσης, μπορεί να αντικατασταθεί το μεγαλύτερο μέρος του μηριαίου οστού με ειδική μεγαπρόθεση που θα επιτρέψει άμεση κινητοποίηση στον ασθενή.
- Σε σοβαρά περιπροθετικά κατάγματα όπου υπάρχει εκσεσημασμένη απώλεια οστού και αστοχία των προηγούμενων υλικών οστεοσύνθεσης, μπορεί να αντικατασταθεί το μεγαλύτερο μέρος του μηριαίου οστού με ειδική μεγαπρόθεση που θα επιτρέψει άμεση κινητοποίηση στον ασθενή.
- Περιπροθετικά κατάγματα κοτύλης
Τα περιπροθετικά κατάγματα στην κοτύλη (όπως και γενικώς τα περιπροθετικά κατάγματα), αυξάνουν σε αριθμό γιατί είναι πολλοί ασθενείς που έχουν αρθροπλαστική ισχίου και συμμετέχουν σε απαιτητικές δραστηριότητες υψηλής φόρτισης. Ίσως αποτελούν τα δυσκολότερα στην αντιμετώπισή τους περιπροθετικά κατάγματα. Παρατηρούμε μία έξαρση στην εποχή μας ειδικά σε αυτά τα κατάγματα για του λόγους πού αναφέραμε πιο πάνω αλλά και για τα παρακάτω αιτίες :
- Τοποθέτηση ανελαστικών εμφυτευμάτων κοτύλης, πάντα σε σχέση με το παρακείμενο οστούν με αποτέλεσμα δημιουργία ζώνης υψηλών συγκεντρώσεων φορτίων που προδιαθέτουν σε κάταγμα.
- Εφαρμογή τεχνικής press fit, δηλαδή για να «σφηνώσει» και να συγκρατηθεί το εμφύτευμα, δέχεται δυνατά κτυπήματα με το σφυρί. Τα κτυπήματα αυτά σε οστεοπορωτικούς ασθενείς μπορούν εύκολα να δημιουργήσουν ρωγμές.
- Συμμετοχή των ασθενών σε δραστηριότητες μέτριας ή και υψηλής ενεργείας. Δηλαδή ενώ παλαιότερα ένας ασθενής 88 ετών περιορίζονταν στο σπίτι και ασχολούταν με ήπιες οικιακές δραστηριότητες, τώρα κυκλοφορεί εκτός του σπιτιού, περπατάει αρκετά, συμμετέχει σε χορευτικούς συλλόγους και οδηγεί αυτοκίνητο. Συνεπώς σε αυτούς τους ασθενείς στην εποχή μας, παρατηρούμε τροχαία ή ακόμα και παράσυρση λόγω του ότι βαδίζουν στο δρόμο αλλά πολλές φορές δεν έχουν καλή επαφή με το περιβάλλον τους.
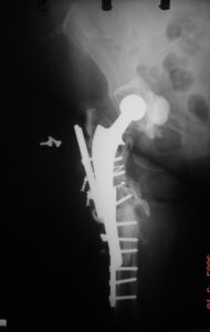
- Σοβαρό περιπροθετικό κάταγμα κοτύλης, όπου δημιουργήθηκε stress riser (αυξημένη συγκέντρωση φορτίων ) στο πέρας του ενισχυτικού δακτυλίου και έγινε καταγματική γραμμή από το εμφύτευμα σε όλη τη διαδρομή του λαγονίου οστού!!!
- Σοβαρό περιπροθετικό κάταγμα κοτύλης, όπου δημιουργήθηκε stress riser (αυξημένη συγκέντρωση φορτίων ) στο πέρας του ενισχυτικού δακτυλίου και έγινε καταγματική γραμμή από το εμφύτευμα σε όλη τη διαδρομή του λαγονίου οστού!!!
- Σοβαρό περιπροθετικό κάταγμα κοτύλης, όπου δημιουργήθηκε stress riser (αυξημένη συγκέντρωση φορτίων ) στο πέρας του ενισχυτικού δακτυλίου και έγινε καταγματική γραμμή από το εμφύτευμα σε όλη τη διαδρομή του λαγονίου οστού!!!
- Ακτινογραφία που εκ πρώτης όψεως δείχνει να μην έχει σοβαρό πρόβλημα, όμως έχει τεράστιο περιπροθετικό κάταγμα της κοτύλης. Έχει αποκολληθεί το εμφύτευμα από τη θέση του και έχει αποσπασθεί μαζί με ολόκληρο το οστικό οπίσθιο τοίχωμα της κοτύλης
- Τρισδιάστατη αξονική τομογραφία (παράσιτα λόγω εμφυτεύματος) δείχνει την αποκόλληση του εμφυτεύματος της κοτύλης και την οπίσθια μετατόπιση του , μαζί με το κάταγμα του οπισθίου τοιχώματος της κοτύλης.
- Δυσδιάστατη ακτινογραφία όπου φαίνεται η μετατόπιση του εμφυτεύματος της κοτύλης και το σπασμένο οπίσθιο τοίχωμα.
- Το αποκολλημένο εμφύτευμα της κοτύλης, με ενσωματωμένο ολόκληρο το οστικό οπίσθιο τοίχωμα της κοτύλης , μετά την αφαίρεσή τους
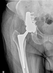
- H τελική ακτινογραφία με ευμεγέθες εμφύτευμα τανταλίου (buttress augment) , άμεση κινητοποίηση ασθενούς με πλήρη αποκατάσταση!!
Τι απαιτείται για την αντιμετώπιση των περιπροθετικών καταγμάτων της κοτύλης;
- Απαιτείται επίσης ενδελεχής προεγχειρητικός έλεγχος του ασθενούς
- Αναισθησιολογική προετοιμασία για μείζονα χειρουργική επέμβαση
- Επακριβής γνώση των εμφυτευμάτων που είχαν τοποθετηθεί στον ασθενή στο παρελθόν
- Ειδικό εξοπλισμό για την αντιμετώπιση αυτών των περιστατικών και εννοείται γνώση της χρήσης του συγκεκριμένου εξοπλισμού από το θεράποντα χειρουργό
- Νοσηλευτικό ίδρυμα που θα πραγματοποιηθεί η επέμβαση με την απαραίτητη τεχνολογία αιχμής (O-arm, cell saver, τμήμα επεμβατικής ακτινολογίας , ΜΕΘ)
- Συνεχή μετεγχειρητική παρακολούθηση του ασθενούς από τον ΙΔΙΟ τον θεράποντα χειρουργό.
- Περιπροθετικά κατάγματα του ισχίου
Τα περιπροθετικά κατάγματα στην περιοχή του ισχίου, χωρίζονται ουσιαστικά σε κατηγορίες ανάλογα με τη θέση τους σε σχέση με το εμφύτευμα, διότι η θέση επηρεάζει και την αντιμετώπισή τους. Δηλαδή με το αν βρίσκονται στην άκρη του μηριαίου οστού, αν είναι κοντά και γύρω από το τέλος της πρόθεσης αν είναι μακριά από την πρόθεση και τέλος υπάρχουν κι άλλες πιο ειδικές κατηγορίες όπως φαίνεται στο αρχικό σχεδιάγραμμα, που αφορούν τον θεράποντα χειρουργό.
Από τι εξαρτάται η αντιμετώπιση ενός περιπρoθετικού κατάγματος του ισχίου;
- Από την βιολογική ηλικία του ασθενούς, τις συνοδές παθήσεις που υπάρχουν και γενικότερα την κατάσταση της υγείας του ασθενούς.
- Από την ποιότητα του οστού, για παράδειγμα ένας ασθενής με μεγάλη οστική απορρόφηση ή μία ασθενής με βαριά οστεοπόρωση, θα έχουν άλλη αντιμετώπιση για το ίδιο ακριβώς κάταγμα σε σχέση με έναν νεαρό ασθενή που έχει πολύ καλή ποιότητα οστού
- Από το κατά πόσο η πρόθεση είναι σταθερή ή έχει χαλαρώσει και έχει αποκολληθεί από το υποκείμενο οστούν και απαιτείται ουσιαστικά να αλλαχθεί και το εμφύτευμα.
- Από την εμπειρία του χειρουργού και τις δυνατότητες του κέντρου αντιμετώπισης του κατάγματος. Επαναλαμβάνουμε για μία ακόμα φορά ότι τα περιπροθετικά κατάγματα και ιδίως η χειρουργική αντιμετώπισή τους αποτελεί έναν πολύ απαιτητικό συνδυασμό καταγμάτων με αποτέλεσμα να απαιτείται μεγάλη εμπειρία και γνώση των αρχών σύνθετης αρθροπλαστικής, αλλά και των σύγχρονων τεχνικών οστεοσύνθεσης των καταγμάτων
- Περιπροθετικό κάταγμα στην περιοχή του ισχίου στο επίπεδο του εμφυτεύματος.
- εσωτερική οστεοσύνθεση με πλάκα και αρκετή ελαστικότητα στο σύστημα.
- Ο ασθενής είναι σε πλήρη δραστηριότητα σε διάστημα δυόμισι μηνών μετά το κάταγμα.
- Περιπροθετικό κάταγμα στην περιοχή στο πέρας του εμφυτεύματος ισχίου σε θήλυ ασθενή .
- Εσωτερική οστεοσύνθεση με πλάκα με αλληλοεπικάλυψη των εμφυτευμάτων για να μην υπάρχουν υψηλές συγκεντρώσεις φορτίων (stress risers)
- H οστεοσύνθεση σε οστεοπορωτικoύς ασθενείς αρχίζει από το γόνατο με σωστή εφαρμογή του εμφυτεύματος και φθάνει μέχρι το ισχίο για να μην υπάρχουν stress risers.

Tα περιπροθετικά κατάγματα σε ηλικιωμένους πρέπει στην οστεοσύνθεση να περιλαμβάνουν ολόκληρο το μήκος του οστού, με αρκετή ελαστικότητα, προάγοντας έτσι την πώρωση και διατηρώντας ταυτόχρονα την σταθερότητα του συστήματος.
- Περιπροθετικά κατάγματα του γόνατος
Τα περί προθετικά κατάγματα του γόνατος ονομάζονται τα κατάγματα που υπάρχει ένα εμφύτευμα αρθροπλαστικής γόνατος και ταυτοχρόνως υπάρχει κάταγμα που συμβαίνει στο μηριαίο οστούν ή στην κνήμη ή και στην επιγονατίδα μέσα σε απόσταση 15 cm από την άρθρωση ή 5 cm από την άκρη του στυλεού (άκρη της πρόθεσης).
Τι ιδιαιτερότητες παρουσιάζουν τα περιπροθετικά κατάγματα γόνατος;
- Περικλείονται σε ένα φτωχό φάκελο μαλακών μορίων δηλαδή αν υπάρχει πρόβλημα στα υπερκείμενα μαλακά μόρια πολύ εύκολα μπορεί να δημιουργηθεί λοίμωξη που θα είναι καταστροφική για τον ασθενή.
- Τα κατάγματα αυτά εμφανίζουν υπολειμματική δυσκαμψία. Οφείλεται συνήθως σε κακοποιημένα και ρικνωτικά μαλακά μόρια με πολλές ουλές καθώς και σε άλλοτε άλλο βαθμό ακινητοποίησης του γόνατος.
- Μετά από τέτοια επέμβαση στο γόνατο μπορεί να έχει πολύ άσχημες συνέπειες ειδικά σε έναν οστεοπορωτικό ασθενή που θα καθυστερήσει η κινητικότητα του. Μπορεί να έχουμε μέχρι και πλήρη αγκύλωση (ακινητοποίηση) του γόνατος.
- Όπως και στα υπόλοιπα περιπροθετικά κατάγματα, η αντιμετώπισή αλλά και η έκβαση της θεραπείας τους, εξαρτάται από την σταθερότητα ή όχι της πρόθεσης, την ποσότητα του οστού γύρω από την πρόθεση και την ακριβή θέση του κατάγματος.
- Μη σωστή αντιμετώπιση ενός βαρέος περιπροθετικού κατάγματος γόνατος, μπορεί να έχει τραγικές συνέπειες για τον ασθενή (μέχρι και ακρωτηριασμό)
Η σοβαρότητα των περιπροθετικών καταγμάτων στην περιοχή του γόνατος, φαίνεται από το γεγονός ότι το συνολικό ποσοστό επιπλοκών από την αντιμετώπιση τους φτάνει το 41% σε ένα γενικό ορθοπεδικό νοσοκομείο. Δηλαδή από τους 10 οι ασθενείς οι τέσσερις έχουν κάποιο υπολειμματικό πρόβλημα ή επιπλοκή, αν δεν αντιμετωπιστούν σε ειδικό κέντρο από έμπειρο χειρουργό.
- Περιπροθετικό κάταγμα στην περιοχή του γόνατος , πολύ περιφερικό.
- Η ίδια ασθενής σε profile ακτινογραφία.
- H οστεοσύνθεση με ανάστροφη ενδομυελική ήλωση με πολύ μικρή τομή δέρματος.
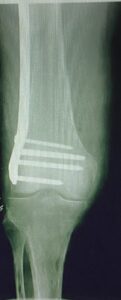
- Περιπροθετικό κάταγμα λίγο πιο κεντρικά από το πέρας του εμφυτεύματος του γόνατος
- Ευθυγράμμιση του οστού και η οστεοσύνθεση με ειδική πλάκα τιτανίου και κλειδούμενους κοχλίες.
- Πολύ περιφερικό κάταγμα στο γόνατο με δύσκολη αντιμετώπιση.
- Διόρθωση του άξονα και της στροφής του οστού με πλάκα Liss μηριαίου και διαδερμική τεχνική (MIS).
Τι πρέπει να προσέξει ο χειρουργός για να υπάρχει επιτυχής έκβαση κατά την αντιμετώπιση ενός περιπροθετικού κατάγματος;
- Το πρώτο πράγμα είναι να σεβαστεί και να ευοδώσει την βιολογία του κατάγματος. Δηλαδή απαιτείται μεγάλη προσοχή στο χειρισμό των μαλακών μορίων και στην αγγείωσή τους. Επίσης η οστεοσύνθεση να μη βλάπτει τα μαλακά μόρια αλλά να παρέχει την απαραίτητη ελαστικότητα στο σύστημα ώστε να ευοδώνει την πώρωση (η οποία γνωρίζουμε ότι ούτως ή άλλως ενδέχεται να είναι προβληματική σε αυτά τα δύσκολα κατάγματα)
- Απαιτούνται ειδικές τεχνικές δεξιότητες (technical skills) έτσι ώστε να υπάρχει μια άρτια οστεοσύνθεση με βάση τις σύγχρονες αρχές, που θα προσδίδει την απαραίτητη ελαστικότητα στο σύστημα, παρέχοντας όμως και την αναγκαία σταθερότητα στην οστεοσύνθεση. Με αυτό τον τρόπο θα μπορεί να κινείται το μέλος και να δέχεται και φορτίσεις όπως συμβαίνει κατά τη βάδιση χωρίς να απειλείται η σταθερότητα της οστεοσύνθεσης.
- Η ίδια ασθενής αντιμετωπίσθηκε σε άλλο κέντρο, δυστυχώς όχι με τον καλύτερο τρόπο.
- Αποτέλεσμα της καθυστερημένης πώρωσης ήταν ο λυγισμός της πλάκας και η συνολική αστοχία του συστήματος οστεοσύνθεσης.
- Η εικόνα του υλικού , ισχυρού μεν , αλλά σε περίπτωση που η πώρωση δεν ευοδωθεί, πάντα η κατάληξη θα είναι αποτυχία.
- H εικόνα του μηρού της ασθενούς με την λυγισμένη πλάκα και την απόκλιση του επιμήκη άξονα του μέλους.
- Η τελική οστεοσύνθεση που πραγματοποιήθηκε στο κέντρο μας με ειδική πλάκα τιτανίου από τους μηριαίους κονδύλους μέχρι τον ελάσσονα τροχαντήρα, αλληλοεπικάλυψη των υλικών χωρίς τη δημιουργία υψηλών συγκεντρώσεων φορτίων (stress risers). Επίσης έγινε βιολογική ενίσχυση του κατάγματος.
- Σοβαρό περιπροθετικό οστεοπορωτικό κάταγμα κάτωθεν της άρθρωσης του ισχίου.
Γιατί να επιλέξω την ομάδα σας για το χειρουργείο;
Έχουμε τονίσει αρκετές φορές προηγουμένως, ότι ειδικά αυτά τα δύσκολα κατάγματα, με το μεγάλο ποσοστό επιπλοκών απαιτούν:
- Ειδική τεχνογνωσία και εξειδίκευση του χειρουργού σε ειδικό κέντρο του εξωτερικού στον τομέα των σύνθετων αρθροπλαστικών
- Δεύτερη εξειδίκευση στον τομέα του ορθοπεδικού τραύματος, δηλαδή της οστεοσύνθεσης των δύσκολων αυτών καταγμάτων.
- Απαιτείται κλινική που να διαθέτει ειδικό εξοπλισμό όπως συσκευή συνεχούς διεγχειρητικής αυτομετάγγισης (cell saver), τμήμα αρτηριακού εμβολισμού (επεμβατικής ακτινολογίας) για αντιμετώπιση πιθανής διεγχειρητικής αιμορραγίας σε σοβαρά περιπροθετικά κατάγματα στην περιοχή της κοτύλης.
- Απαιτείται μεγάλη εμπειρία του χειρουργού σε αυτό τον τομέα και μεγάλος αριθμός αντιμετωπισθέντων ασθενών. (Από το 2006 αντιμετωπίζουμε ανάλογα περιστατικά σε διάφορα νοσηλευτικά ιδρύματα της Ελλάδας).
Είμαστε από τα λίγα αν όχι το μόνο κέντρο στην Ελλάδα που συνδυάζει αυτού του είδους την εξειδίκευση των χειρουργών. Επιπλέον με το συνδυασμό όλων των παραπάνω, είμαστε αισιόδοξοι και μπορούμε να πετύχουμε ένα πολύ καλό αποτέλεσμα ελαττώνοντας ταυτόχρονα τις πιθανές επιπλοκές από την αντιμετώπιση αυτών των καταγμάτων , έτσι ώστε πολύ γρήγορα οι ασθενείς να γυρίσουν στην προτέρα τους ζωή και δραστηριότητα.
Κλείστε άμεσα ραντεβού με τον Ορθοπαιδικό Χειρουργό Σπύρο Δαρμανή και την ομάδα του για μια εξειδικευμένη διάγνωση και θεραπεία.











































